




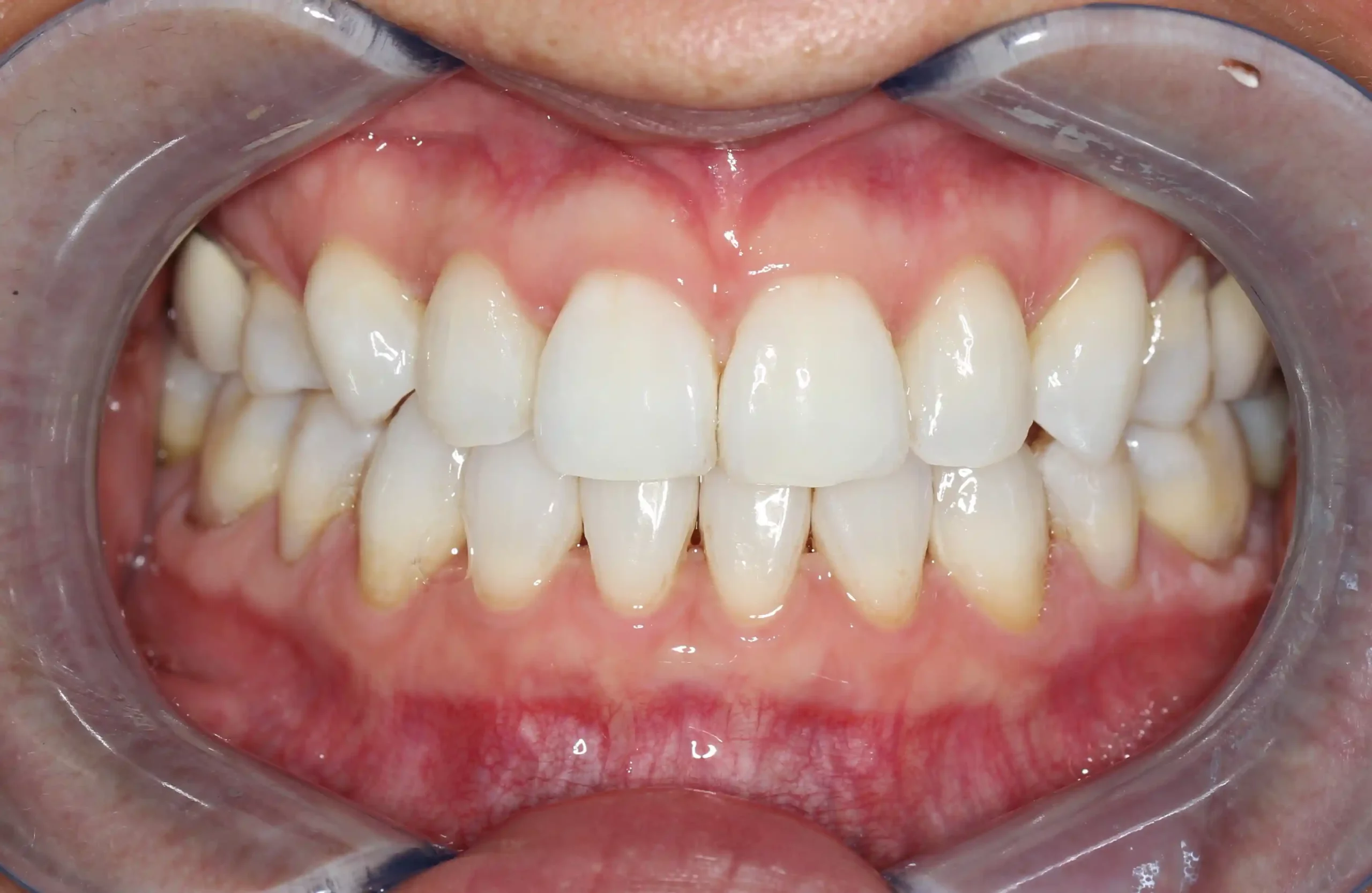
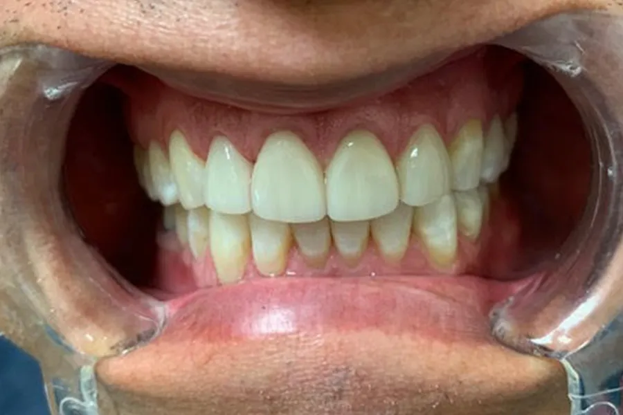
10 porcelain veneers were completed to restore the shape, color and function of his teeth.







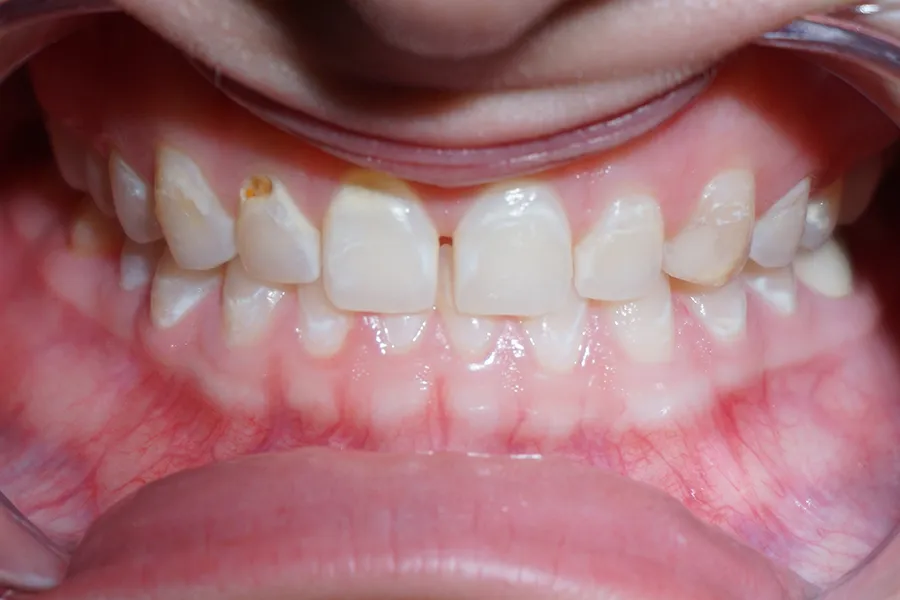
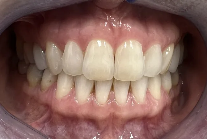
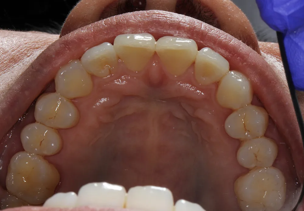
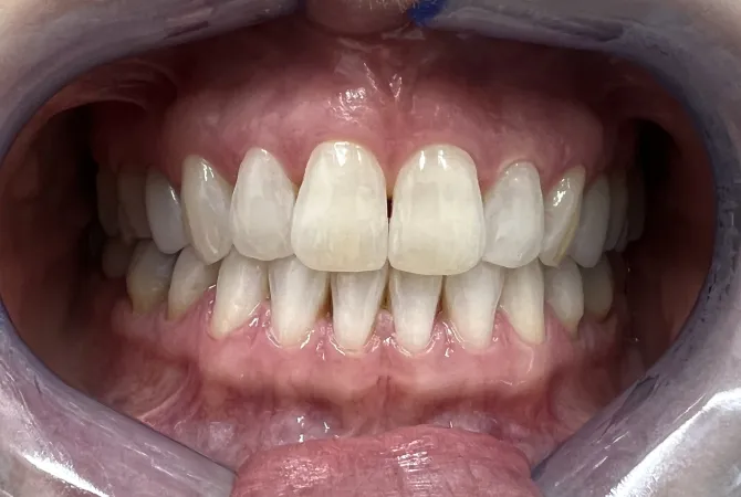
This young lady was suffering from gingival decalcifications (white spots) and decay after braces. She needed a perfect smile with no defects to boost her confident. 8 anterior veneers and two posterior crowns were completed to meet her esthetic and dental needs.









Tooth bonding (dental bonding) is a cosmetic dental procedure that repairs a chipped, cracked, or otherwise broken tooth to enhance your smile.It also helps with discolored teeth, gaps between the teeth, teeth sensitivity and to prevent future decay. We use a tooth-colored resin material to fill the abrasions. Unlike crowns and veneers this procedure is very conservative and requires minimum to no preparation on the teeth.

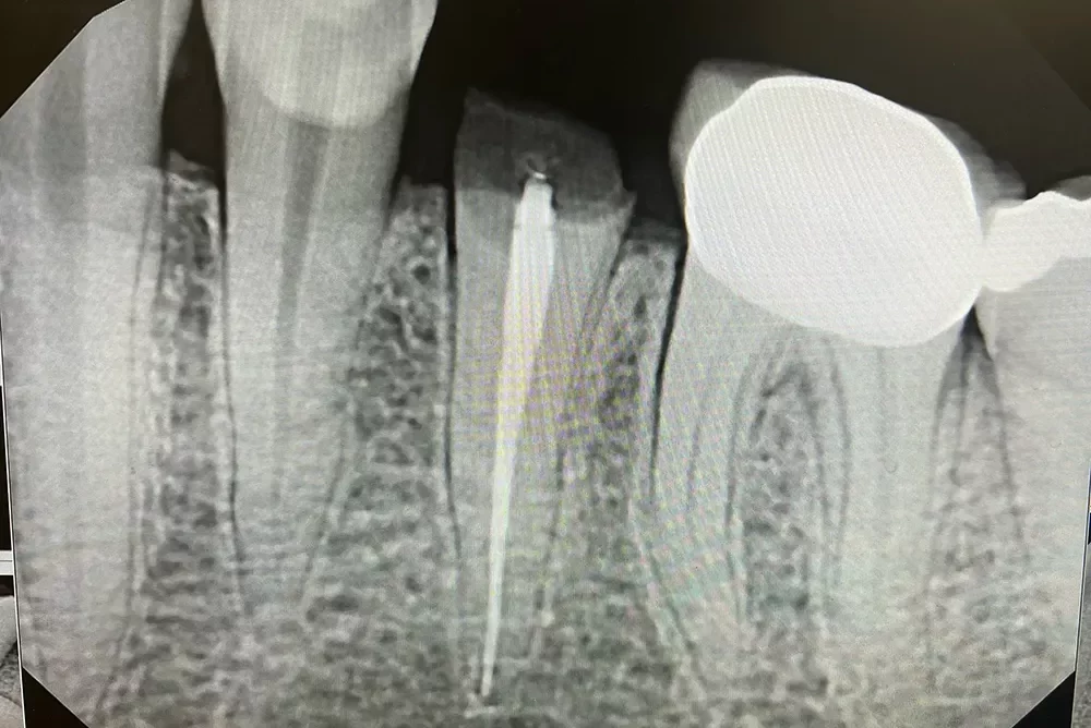
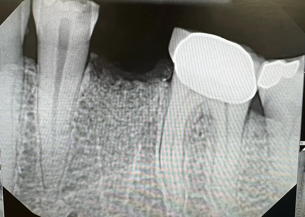
If the dentist finds evidence that a filling has failed or detects decay on the radiograph, the dental filling should be replaced promptly. Don’t wait until the tooth hurts or a crack appears in the filling of the tooth. Early detection and treatment can minimize the need for extensive and costly procedures.

Composite Bonding: Here we have used composite bonding to restore a chipped and sharp front tooth. This is done in a single visit, without injections and no pain while using a direct composite technique.

Composite Bonding: These dental bondings are performed to repair the chipped front teeth and restore them to the natural look. It would also help with tooth sensitivity and discoloration.

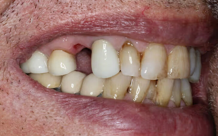
Implant, abutment and zirconia crown placed to replace the missing tooth and restore the bite.


This lady received two dental implants and a bridge to replace her upper missing teeth. We restored her teeth, smile and boosted her confidence. She is very happy with the results and smiles with higher confidence.


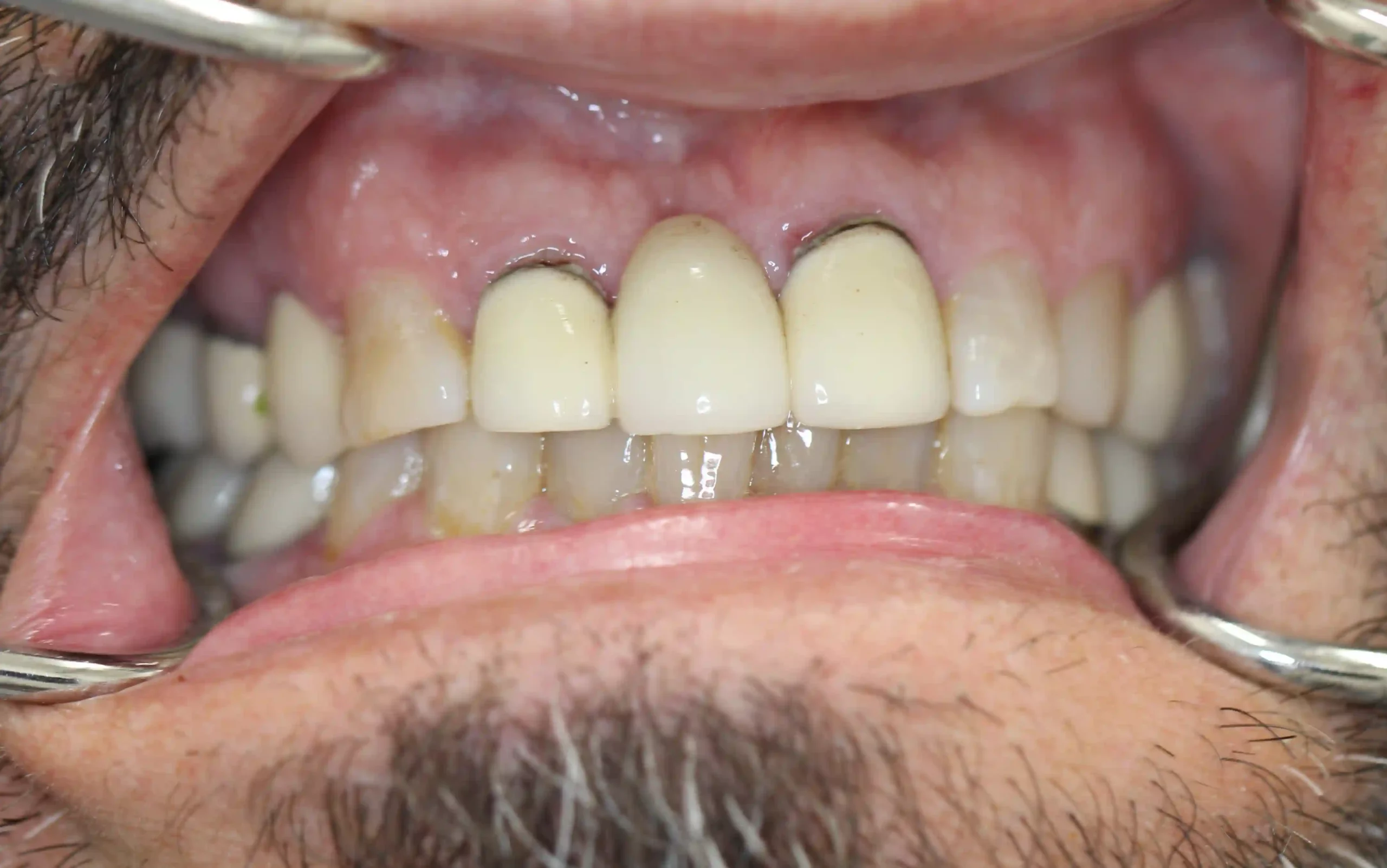
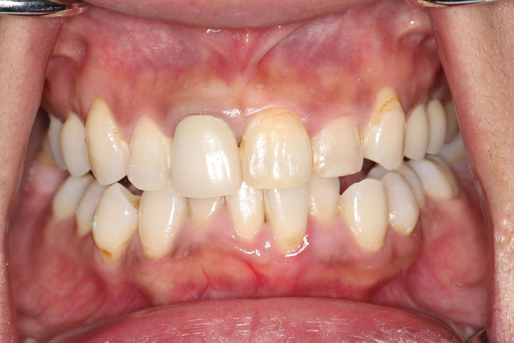
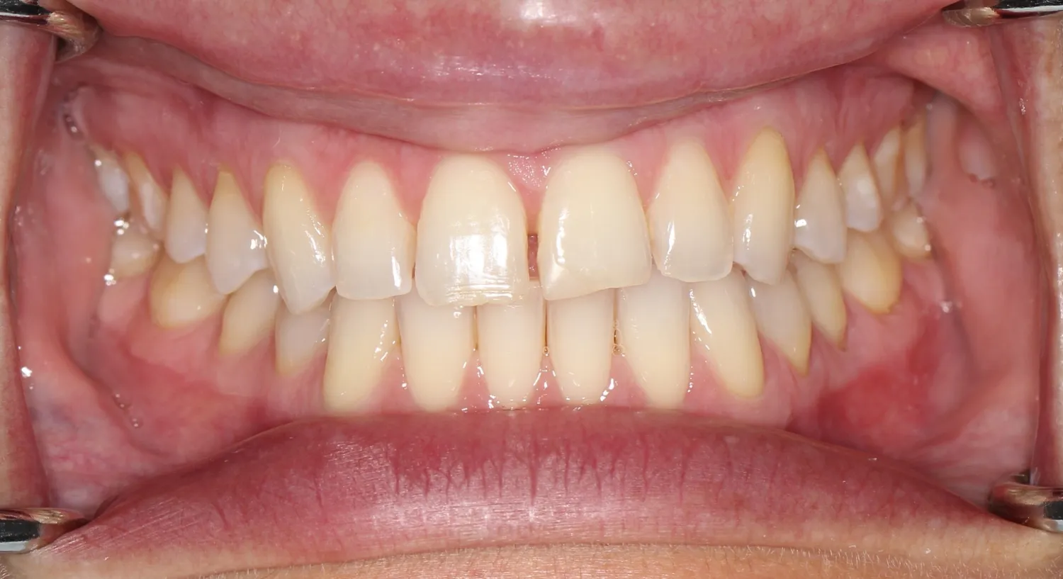
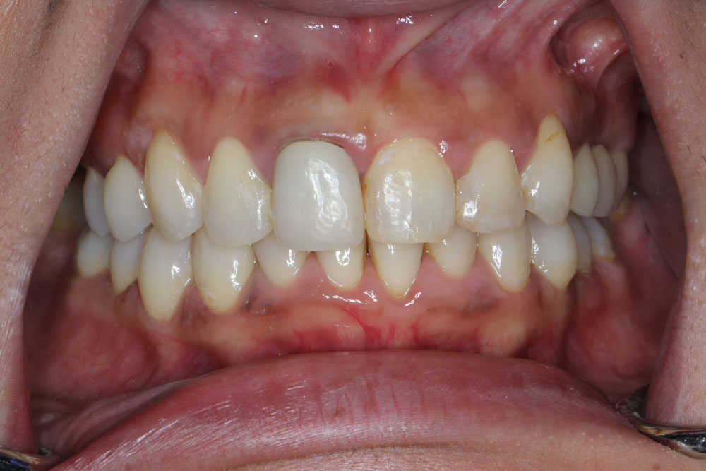
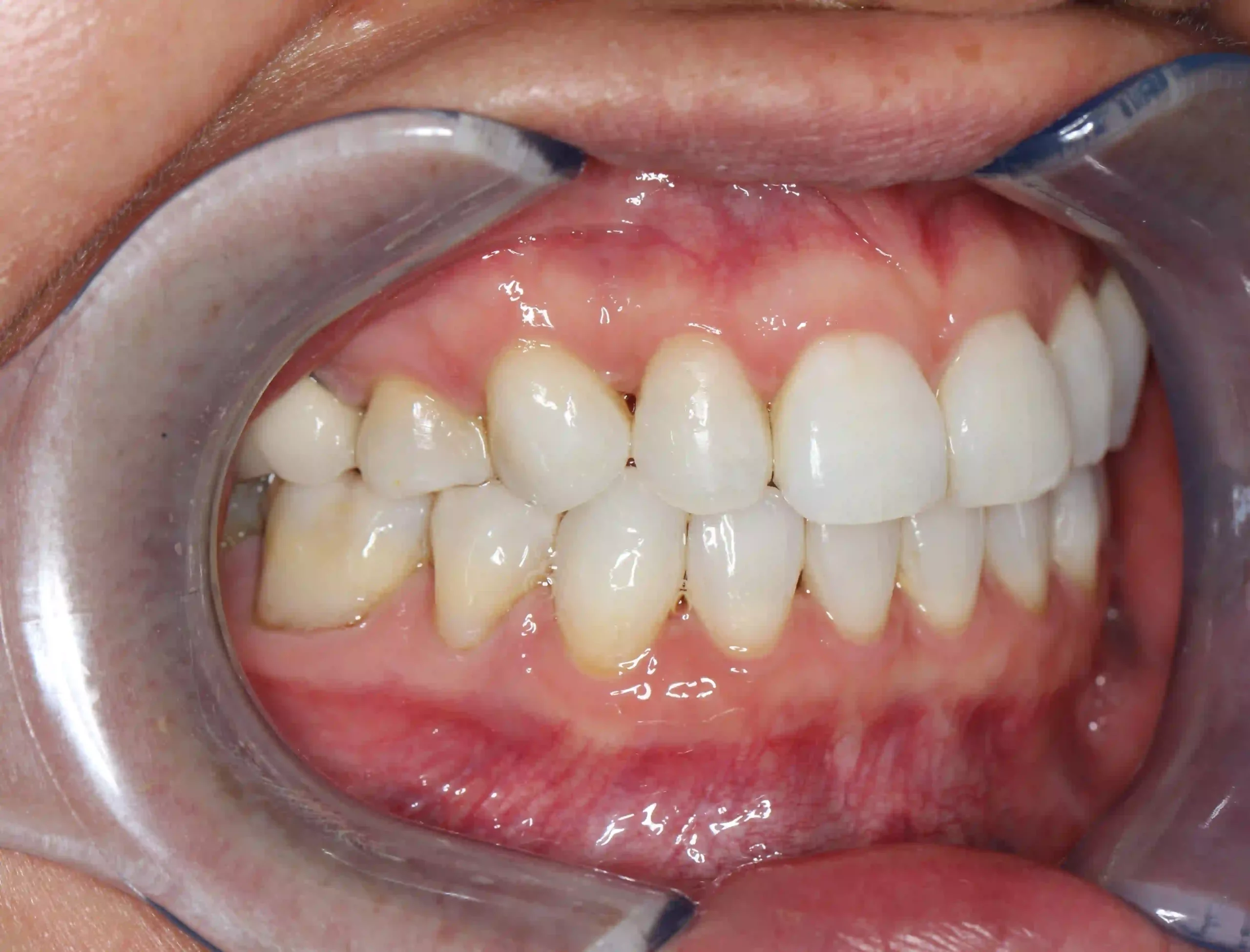
Anterior Crowns: This beautiful lady was not happy with her previously done anterior crowns due to them being opaque and fake looking. The four anterior crowns were replaced with more natural looking, translucent crowns. Patient’s comments and concerns regarding the length and the shape of the teeth were followed closely.

Porcelain Bridge: This gentleman presented with a broken tooth due to trauma. His broken tooth was extracted and grafted. A provisional splint was made for him to temporarily restore his smile. Final full ceramic bridge was delivered. He was delighted to have his smile back within a few weeks.

Surgical Extraction, bone graft and membrane: Did you know that the jawbone begins reshaping the minute the tooth is extracted or pulled? We like to use a technique called socket preservation to counteract this natural act of the body. Socket preservation is a bone grafting procedure covered with a membrane to preserve the bone and have the site ready for the placement of the implant.

Teeth Whitening

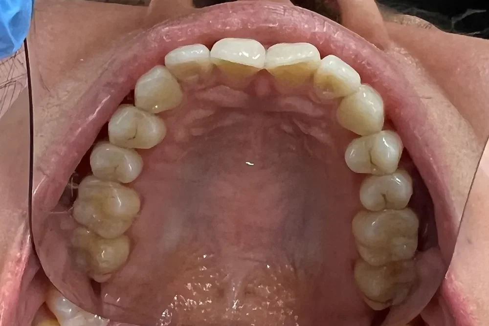
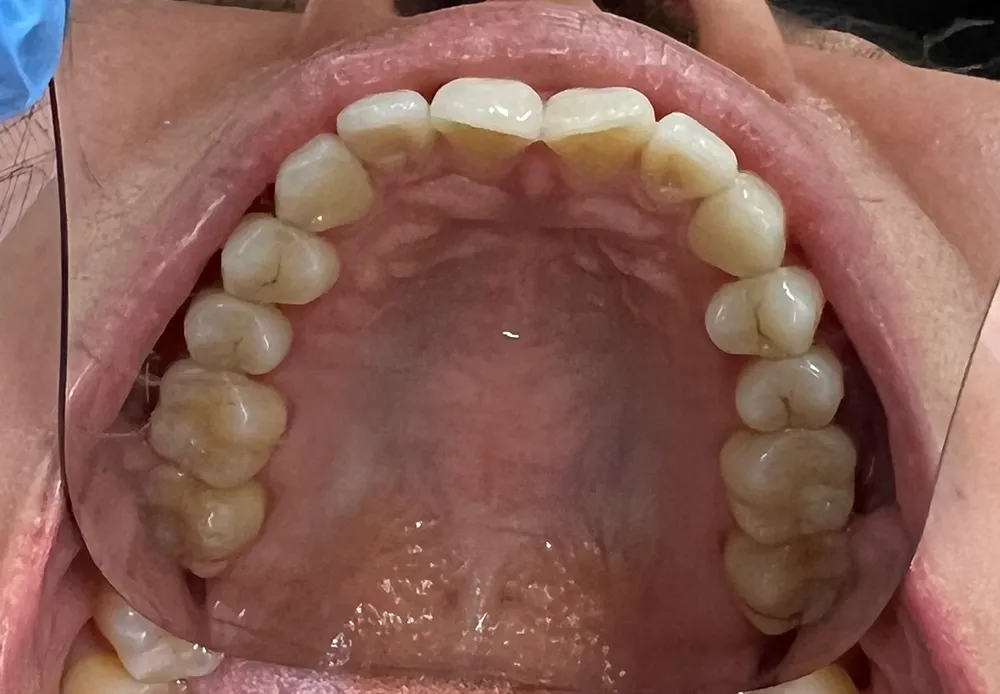
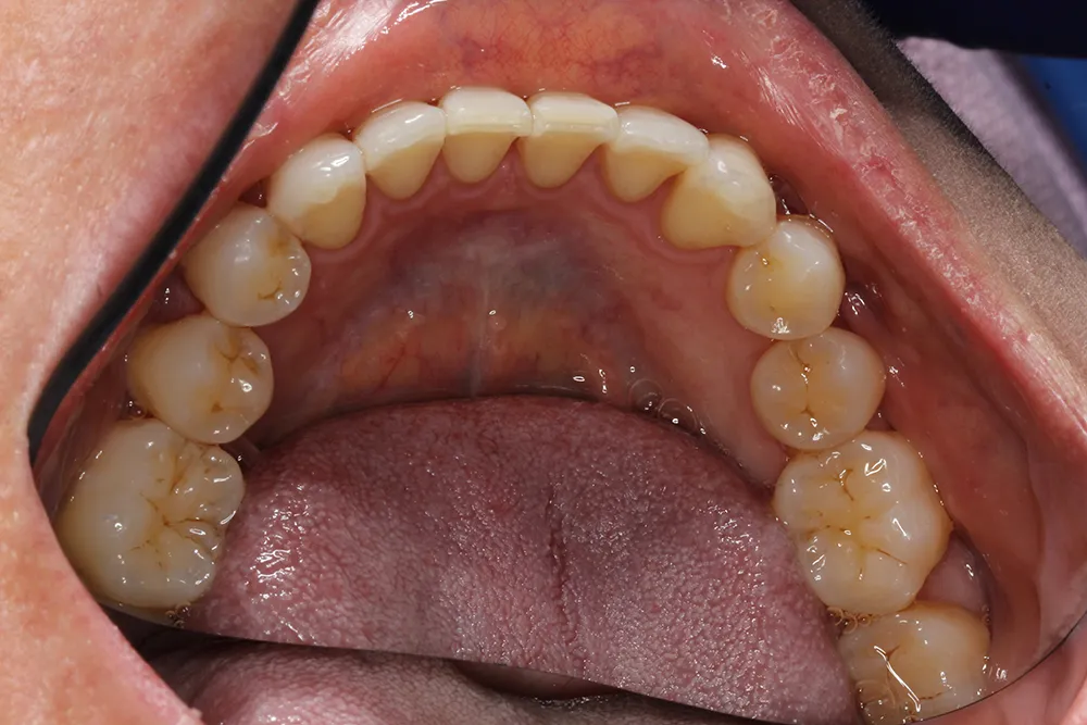
This is a full upper teeth reconstruction performed by restoring and rebuilding all his upper teeth and recontouring his gum. This treatment is needed when teeth are worn down and damaged due to grinding and clenching. The treatment has resulted in a more youthful and healthy appearance of this wonderful patient.
(949) 273-1900
23052 Alicia Pkwy, Suite B2 Mission Viejo, CA 92692
info@smiledentalboutiquemv.com
Posted on Gohartaj GoudarzianTrustindex verifies that the original source of the review is Google. The doctor and her assistants were very patient and professional, providing a comprehensive and complete explanation of the problem I had encountered, in a reasonable amount of time.Posted on Tsusan GerTrustindex verifies that the original source of the review is Google. Excellent Dentist. !!!! Great experience..first time! Receptionist is very thorough and excellent as well!Posted on Lada ElTrustindex verifies that the original source of the review is Google. I had my first major appointment today and wanted to share how positive my experience was. The dentist was professional, gentle, and made me feel comfortable throughout the entire visit. Her assistant was equally wonderful — attentive, supportive, and very caring during the procedure. The receptionist was welcoming and helpful from the moment I walked in, which really set the tone for the visit. The whole team works together seamlessly and creates a calm, reassuring environment. I truly appreciate their kindness, professionalism, and dedication to patient care. Highly recommend this office!Posted on Abran GomezTrustindex verifies that the original source of the review is Google. Best Dental in OC, got my smile back and feel more confident about it. At first felt nervous about coming but they made me feel comfortable and they where super gentle, amazing staff would definitely recommend them to everyonePosted on cheychickTrustindex verifies that the original source of the review is Google. Always a positive experience here, very thorough with cleanings and exams.Posted on Nancy SandlerTrustindex verifies that the original source of the review is Google. Excellent customer service. Very friendly and professional both front office and Dr. Naji. I would highly recommend Dr. Naji.Posted on jim hoeyTrustindex verifies that the original source of the review is Google. Everything was great, very professional office. I would recommendPosted on Free spiritTrustindex verifies that the original source of the review is Google. Everyone was friendly and professional. I had a very good experience and I dont like the dentist office usually but felt at ease and informed . Gentle tooth cleaning . Thanks for taking care of my teeth .Posted on Yahana AnyellyTrustindex verifies that the original source of the review is Google. It was a good service, thank you.
Copyright © 2026 All Rights Reserved. Design by 01Guru