(949) 273-1900
info@smiledentalboutiquemv.com
Dentures, bridges, and implants can all replace missing teeth. However, dental implants often prove the best, longest-lasting solution for restoring one or more lost teeth. They involve three main parts:
Ready to schedule your appointment?
Dental implants are a standard dental option offered in Smile Dental Boutique, and receiving them is surprisingly simple. Most patients consider the procedure easier than getting a tooth pulled. You can expect to return to work or your daily activities the next day.
Dental implants prove a highly durable solution to tooth loss, with the materials built to last a lifetime in many cases. They blend in with your smile, allowing for normal function and a natural look and feel that promotes confidence and convenience. Eat the foods you want and enjoy a lifetime of full smiles.
Call today to book an appointment at Smile Dental Boutique at our dentist in Mission Viejo, conveniently located close to Albertsons on Olympiad Rd and Alicia Pkwy.




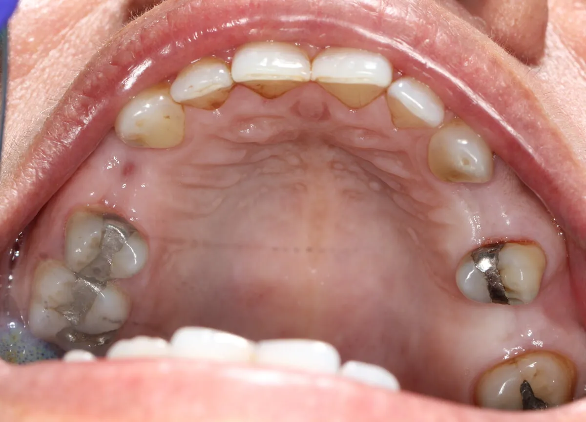
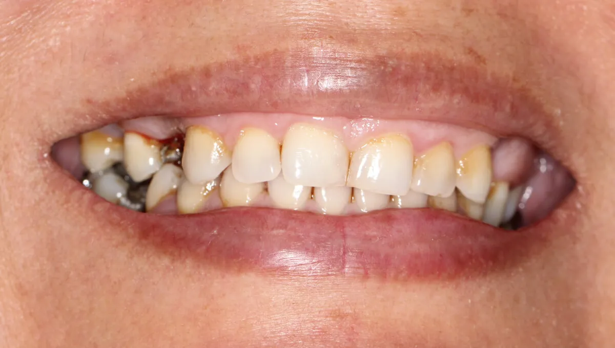
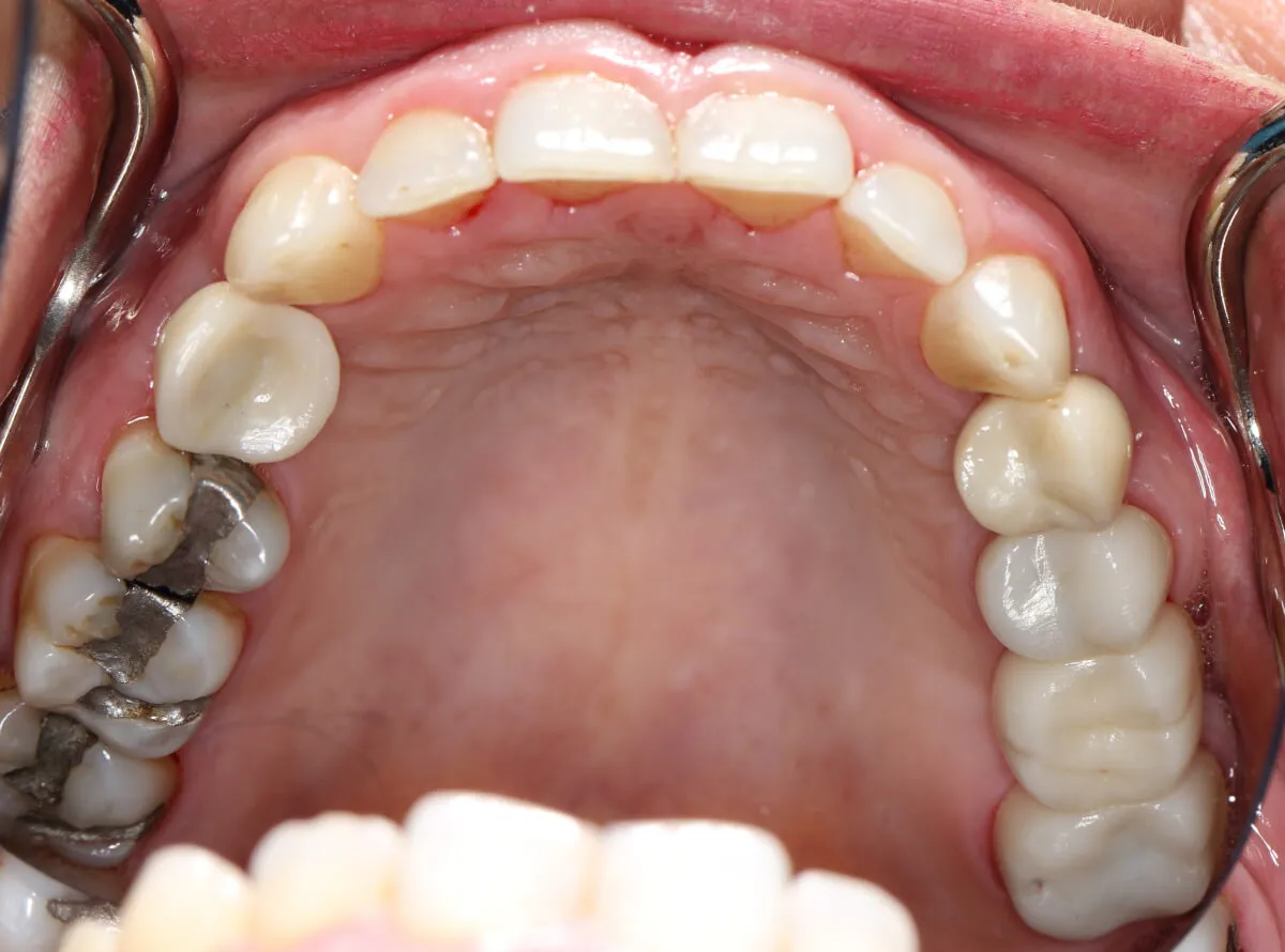
This lady received two dental implants and a bridge to replace her upper missing teeth. We restored her teeth, smile and boosted her confidence. She is very happy with the results and smiles with higher confidence.
First, you meet with our dentist to determine if dental implants suit your tooth replacement needs. We thoroughly examine your mouth, including taking X-rays and ensuring your jaw bone is healthy enough to support implants. We may require a CBCT scan to evaluate the 3D dimension of your jaw's bone, nerves, and other key structures. You then work with our specialist to find your best restorative option and schedule a date for the procedure.
Once a patient is determined to have enough bone, then the procedure can move along. Placing the titanium post is typically quick and straightforward. Your surgeon places the post through a small opening in your gums at the precise location you need. Some patients may need a bone grafting treatment prior to the implant placement or at the time of implant placement to restore lost bone mass. We then clean the area and close any incisions. In most cases, initial recovery takes less than 2 weeks, but you can go about your daily routine the day after the implant placement.
Over the next 3-6 months, the implant will permanently fuse to the jawbone through osseointegration. During this time, we see patients for follow-up visits to ensure everything is progressing well. We will create impressions of your bite and implant, which are used in the lab to create an abutment and a custom crown that fits naturally in your smile.
When the lab finishes your prosthetic, they send it to us and we can place it on your implant at your next visit. We check that everything fits, looks comfortable, and feels natural. We then permanently secure it to the abutment, and you can start to enjoy your new tooth.
Keeping your implant in good shape is as simple as can be. Merely continue a healthy routine of brushing twice a day and flossing daily. Stick to a regimen of dental checkups every 6 months and practice good oral hygiene habits. Do this and you can enjoy your implants for years to a lifetime.
Single-tooth implants are the most commonly used dental implants for tooth replacement and replace one tooth at a time. They involve a titanium post, an abutment, and a single dental crown on the top. Patients can have one or more of these types of implants, depending on their situation.
Implant bridge is like a dental bridge but it is supported by dental implants. It is indicated if you are missing more than one tooth in a row. Depending on how many teeth are missing, you might receive two or more dental implants to support and anchor the bridge, so it stays in place and looks and functions like natural teeth.
If you need a full set of teeth (upper or lower jaw or both), then implant-supported dentures may be best. This solution involves placing 2 or more implant posts, which serve as anchor points for special dentures. The implants provide increased stability while still allowing for removing the dentures to clean and care for them.
Ready to schedule your appointment?
First, we choose from a range of post sizes to select one suitable for your smile and jaw structures. Once it is placed and integrated to your bone, we take impressions that are sent to the lab, where they are used to create an abutment and crown to match your smile's features. Our lab partners use medical-grade porcelain and composite materials to craft a natural-looking crown from scratch.
Years to a lifetime. However, durability depends on proper placement, healthy oral hygiene habits, and avoiding accidents or injuries.
Implant infections are rare and occur only if the implant site is not cared for after surgery. The best way to avoid infection is to carefully follow our instructions after your procedure.
They will! Bone loss occurs when your jaw is understimulated. Missing teeth mean your jaw misses out on stimulation in that area when chewing or biting. Implants fuse right to the bone and like the roots of the teeth transmit stimulation from chewing to help preserve bone density.
While some implants can be completed in a day, they are usually only a temporary measure. Additionally, patients receive a temporary cap over their implant to protect it while it fuses to the jaw bone. Once your custom-made crown is complete, were place the temporary cap with it for a permanent solution worth the wait. We will evaluate your bone and can let you know if you are a candidate for same day implants. There are many options for a temporary replacement of the missing teeth to have a natural looking smile while your implant is healing.
They can, though this is quite rare. It typically results from habits that negatively impact oral health (smoking, poor hygiene) or poor implant placement. Working with a skilled dentist and taking care of your oral health are the two best ways to avoid implant failure. Signs of implant failure include:
Some mild pain and discomfort are normal but tend to last only 1 to 5 days. Pain is readily managed with OTC painkillers and rarely becomes a problem. If pain continues past a week or two of your procedure, we recommend contacting us.
Yes! Implant-secured (or implant-supported) dentures are a highly optimal solution for patients who need dentures. The dentures snap onto the implants for added stability while maintaining the convenience of removing the dentures for cleaning. However, patients need sufficient bone mass for implant-supported dentures. A bone grafting procedure can help patients with lower-density jawbones to restore enough bone mass.
Not only are dental implants safe, they tend to boost a patient's overall quality of life and well-being. While there are minor risks of complications, these are exceptionally rare for patients who work with a skilled dentist and follow their post-procedure care instructions closely.
(949) 273-1900
23052 Alicia Pkwy, Suite B2 Mission Viejo, CA 92692
info@smiledentalboutiquemv.com
Posted on Gohartaj GoudarzianTrustindex verifies that the original source of the review is Google. The doctor and her assistants were very patient and professional, providing a comprehensive and complete explanation of the problem I had encountered, in a reasonable amount of time.Posted on Tsusan GerTrustindex verifies that the original source of the review is Google. Excellent Dentist. !!!! Great experience..first time! Receptionist is very thorough and excellent as well!Posted on Lada ElTrustindex verifies that the original source of the review is Google. I had my first major appointment today and wanted to share how positive my experience was. The dentist was professional, gentle, and made me feel comfortable throughout the entire visit. Her assistant was equally wonderful — attentive, supportive, and very caring during the procedure. The receptionist was welcoming and helpful from the moment I walked in, which really set the tone for the visit. The whole team works together seamlessly and creates a calm, reassuring environment. I truly appreciate their kindness, professionalism, and dedication to patient care. Highly recommend this office!Posted on Abran GomezTrustindex verifies that the original source of the review is Google. Best Dental in OC, got my smile back and feel more confident about it. At first felt nervous about coming but they made me feel comfortable and they where super gentle, amazing staff would definitely recommend them to everyonePosted on cheychickTrustindex verifies that the original source of the review is Google. Always a positive experience here, very thorough with cleanings and exams.Posted on Nancy SandlerTrustindex verifies that the original source of the review is Google. Excellent customer service. Very friendly and professional both front office and Dr. Naji. I would highly recommend Dr. Naji.Posted on jim hoeyTrustindex verifies that the original source of the review is Google. Everything was great, very professional office. I would recommendPosted on Free spiritTrustindex verifies that the original source of the review is Google. Everyone was friendly and professional. I had a very good experience and I dont like the dentist office usually but felt at ease and informed . Gentle tooth cleaning . Thanks for taking care of my teeth .Posted on Yahana AnyellyTrustindex verifies that the original source of the review is Google. It was a good service, thank you.
Copyright © 2026 All Rights Reserved. Design by 01Guru